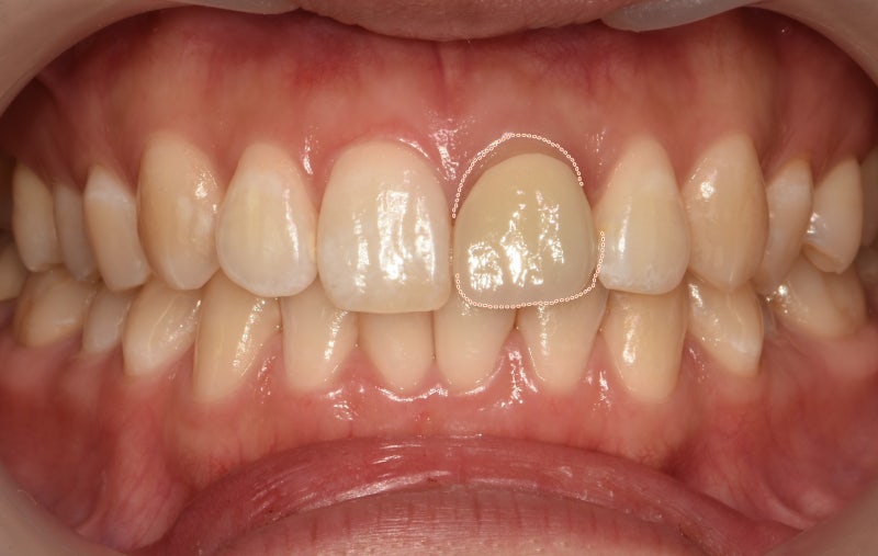
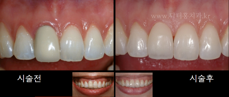
광명역 지르코니아크라운 치과치료과정 치아건강을 위해서는 구강위생에 신경써야 합니다. 한 번 관리하면 자연치아의 기능을 잃어 일상생활이 매우 불편해질 수 있습니다. 중요한 부분이지만 매일매일 치아 건강을 챙기기란 쉽지 않습니다. 특히 치주질환이나 외상 등 여러 가지 이유로 치아가 손상된 경우 지체 없이 적절한 치료를 받아야 한다. 치아를 상실했을 때 받을 수 있는 치료는 ‘보철’ 수복입니다. 보철수복물 중 하나인 크라운은 손상된 치아에 보철물을 씌워 자연치아의 기능을 회복시키는 방법이다. 이 유형의 크라운에는 지르코니아와 금 및 세라믹과 같은 기타 재료가 포함됩니다. 지르코니아는 가장 선호되는 크라운 재료 중 하나입니다. 지르코니아 크라운은 원래 치아와 색상이 비슷하기 때문에 심미적 만족도가 높고 인간 친화적입니다. 지르코니아 역시 일반 포세린 크라운에 비해 치아 삭제량이 적고 열전도율이 낮아 선호도가 높다.
![]()
지르코니아 시술 순서는 기본적으로 꼼꼼한 시술 후 맞춤 크라운 제작입니다. 치과의사는 스마트 디지털 장비를 이용하여 구강내 정보를 디지털 프로그램으로 전송 및 재구성하고 컴퓨터 소프트웨어를 통해 최종 보철물을 디자인합니다. 최종 보철물이 완성된 후 지르코니아 블록을 밀링하고 CAM을 통한 정교한 밀링머신으로 크라운을 제작합니다. CAD, CAM 등의 디지털 장비를 이용한 지르코니아 보철물 제작 방식은 기존 방식에서 발생하는 모든 오차를 방지하여 착용감이 우수한 장점이 있습니다. 맞춤형 지르코니아 제작 공정을 거치면 개인의 구강 구조에 맞는 지르코니아 크라운이 완성되어 편안한 착용이 가능합니다. 그러나 지르코니아 크라운이 모든 치아 문제에 적합한 것은 아닙니다. 지르코니아는 주로 어금니 치관 치료에 사용되며, 앞니의 브릿지 및 식립 후 재료로 필요한 경우가 있어 사전에 충분한 검사가 필요합니다.
![]()
한편, 각각의 보철 수복 재료에는 고유한 장점과 단점이 있습니다. 금은 인간 친화적이고 안정성과 강도가 우수하지만 온도 변화에 민감하고 쉽게 눈에 띄기 때문에 만족도가 떨어집니다. PEM 소재의 경우 외부는 세라믹, 내부는 금속으로 되어 있어 다른 소재에 비해 심미성이 높고 비용이 저렴하다. 그러나 단점은 내부의 금속이 오랜 시간이 지나면 검게 변할 수 있다는 것입니다. 이처럼 크라운의 종류와 재질은 다양하고, 각 재질마다 장단점이 있기 때문에 자신의 구강 상태에 맞는 크라운 재질을 찾는 것이 중요합니다. 또한 보철 치료 후 정기적인 검진과 관리를 통해 보철물의 수명을 늘릴 수 있습니다. #광명역치과의원